Herzlich willkommen!

Great smiles never go out of style

mehr erfahren

Ihr Experte für eine professionelle Mundhygiene in Tirol

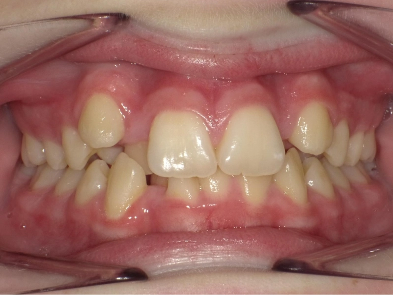
Eng stehende Zähne? Wir erklären die Ursachen und Lösungen

Zahnengstand ist eine häufige Fehlstellung, die wir in unserer Fachzahnarztpraxis in Tirol regelmäßig behandeln. Ein Engstand liegt vor, wenn die Zähne eines oder beider Kiefer nicht ausreichend Platz haben, um in physiologischer Stellung aneinandergereiht zu stehen. Häufig sind einzelne Zähne nach vorne oder nach hinten verschoben. Auch können Zähne rotiert sein, weil sie von nachrückenden Zähnen verdrängt wurden. Seltener entstehen sogar mehrere Zahnreihen. Diese Art der Fehlstellung kann zu Funktionseinschränkungen beim Essen, Sprachstörungen, erschwerter Zahnpflege sowie einem erhöhten Risiko für Karies und Parodontitis führen. Eine konsequente und regelmäßige Mundhygiene ist daher besonders wichtig, um Folgeerkrankungen zu vermeiden.

Behandlungsfälle

Unser Behandlungsspektrum: Von der Diagnose bis zur passenden Zahnspange

Wir bieten Ihnen ein breites Spektrum an Behandlungsmöglichkeiten – von der fundierten Diagnose bis hin zur optimalen Wahl Ihrer Zahnspange. Unsere moderne Praxis in Tirol setzt auf digitale 3D-Technologie, die herkömmliche Abdrücke größtenteils ersetzt. Ob herausnehmbare Spangen, festsitzende Brackets oder unsichtbare Zahnschienen – unser Ziel ist es, für jede Patientin und jeden Patienten die bestmögliche Lösung zu finden. Ein zentraler Bestandteil einer erfolgreichen kieferorthopädischen Behandlung ist zudem die professionelle Mundhygiene, die in unserer Praxis gezielt auf Ihre Behandlung abgestimmt wird – für langfristige Zahngesundheit und optimale Ergebnisse.

Moderne Kieferorthopädie für ein strahlendes Lächeln

Mit unserer innovativen Ausstattung und den neuesten kieferorthopädischen Methoden sorgen wir dafür, dass Sie eine Behandlung auf höchstem Niveau genießen können. Unsere Expertise in der Kieferorthopädie verbindet bewährte Verfahren mit modernster Technik, sodass Sie schnell und komfortabel Ihr gewünschtes Behandlungsergebnis erreichen. Ein wesentlicher Bestandteil unseres ganzheitlichen Behandlungskonzepts ist die professionelle Mundhygiene – sie unterstützt die Zahngesundheit während der gesamten kieferorthopädischen Therapie. Dank digitaler Prozesse verläuft die Behandlung besonders effizient, was sie gerade für junge Patientinnen und Patienten ideal macht. Unsere Praxis ist darauf ausgerichtet, den Ablauf so angenehm wie möglich zu gestalten und dabei höchste Qualitätsstandards zu erfüllen.

Termin vereinbaren
Menschen im Wartezimmer bei Dr. Ahmed El-Shafie MSc

Das Team von Dr. El-Shafie freut sich darauf, Sie persönlich zu beraten

Kurze Wartezeiten und persönliche Beratung

In unserer Praxis legen wir großen Wert auf eine transparente und individuelle Beratung. Wir nehmen uns Zeit, um alle Fragen zur Kieferorthopädie und zu den verschiedenen Zahnspangenarten zu beantworten. Durch die Spezialisierung unseres Teams und unser durchdachtes Praxismanagement bieten wir Ihnen kurze Wartezeiten und effiziente Abläufe. Ihre Behandlung ist bei uns in besten Händen. Kommen Sie gerne vorbei und lassen Sie sich von unserem freundlichen Team auf Ihrem Weg zu einem gesunden und schönen Lächeln begleiten.

Jetzt Termin vereinbaren!

Wir freuen uns darauf, Sie in unserer Praxis in Schwaz, Tirol begrüßen zu dürfen! Eine angenehme Atmosphäre für die ganze Familie liegt uns am Herzen. Neben modernster Kieferorthopädie bieten wir Ihnen auch professionelle Mundhygiene auf höchstem Niveau – für gesunde Zähne in jedem Alter. Lehnen Sie sich zurück und vertrauen Sie auf unsere Fachkompetenz, um Ihr schönstes Lächeln zu erreichen. Vereinbaren Sie jetzt Ihren Termin bei Dr. med. dent. Ahmed El-Shafie MSc, Ihrem Fachzahnarzt für Kieferorthopädie in Schwaz!

 

Das Team von Dr. El-Shafie freut sich darauf, Sie persönlich zu beraten.

Sie haben Fragen oder möchten einen Termin vereinbaren? Dann schreiben Sie uns oder rufen Sie uns an unter +43 5242 72880

hCaptcha